Tag: podróże
Afganistan - tu cały czas trwa wojna
Najgorętszy obecnie kraj w Azji, to chyba jedno z ostatnich miejsc na ziemi, które kojarzy się ze słowami turystyka i podróże. A jednak wystarczy postarać się o wizę.
Kto przybieży do Betlejem?
Jezus nie ma szczęścia do Betlejem. W zeszłym roku narodził się w strugach deszczu. W Jerozolimie, 8 kilometrów od Betlejem, zaczęło biblijnie lać nim nastała cicha noc/ święta noc. Policjant izraelski, który przyniósł do hotelu dwie wejściówki na pasterkę w Betlejem, nie znalazł chętnych...
Żydzi w Przemyślu, czyli świat przeszły niezapomniany
Najstarsza wzmianka o polskich Żydach datowana ok. 1030 dotyczy Przemyśla. Jak z tego wynika istniała tu wtedy ich osada, która dzięki przywilejowi Kazimierza Wielkiego rozwinęła się w II połowie XIV w. Położona korzystnie na skrzyżowaniu szlaków handlowych rozrosła się w ciągu następnych...
Kogo cieszy, a kogo martwi słaba złotówka
Z Romanem Przasnyskim, analitykiem z centrali Open Finance w Warszawie, rozmawia Jaromir Kwiatkowski.
Lwów - wyjątkowy, europejski, nieco zaniedbany
Pierwszy raz byłem we Lwowie w 1994 r. Miasto zrobiło wtedy na mnie przygnębiające wrażenie: unikalne zabytki były w takim stanie, że stopień ich zdewastowania przykrywał ich dawną świetność i urodę. Porównanie Lwowa AD 2013 z tamtym pokazuje, że - choć jeszcze wiele jest tu do zrobienia...
Ascot - wyjątkowy dodatek na salonach
Jaki wybrać dodatek, dzięki któremu można będzie wyróżnić się z tłumu podobnie wyglądających kolegów z pracy czy znajomych? Wybrać ascot. Noszony na kołnierzu, wpuszczony do kamizelki bądź marynarki, może zastąpić krawat czy muszkę nawet w formalnym stroju.
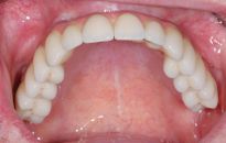
Implanty - najskuteczniejsza metoda uzupełniania braków w uzębieniu
Dla sporej liczby osób utrata nawet jednego zęba wydaje się olbrzymim problemem natury estetycznej, w wielu przypadkach zaś brak kilku zębów oznacza konieczność noszenia niewygodnych i kłopotliwych protez, których pacjenci nie akceptują. Obok estetycznego dyskomfortu, ubytki w pełnym uzębieniu...
Tomek Michniewicz w Centrum Ursa Maior
W sobotę, 9 sierpnia o godz. 16 w Centrum Ursa Maior w Uhercach Mineralnych spotkanie autorskie z Tomkiem Michniewiczem ? dziennikarzem, reportażystą, fotografem, organizatorem wypraw i ekspedycji, aktywistą. Tomek Michniewicz zaprezentuje zdjęcia z wyprawy do Kamerunu, w dorzecze Dja, do osiedli...
Liderzy list do sejmiku. Za nimi sporo ciekawych nazwisk
Strzelec historycznej bramki na Wembley w 1973 r.; pierwszy krajowy lider rolniczej "Solidarności"; były wiceminister rolnictwa w czasach PRL, a w III RP ? m.in. burmistrz Dębicy; słynny trialowiec? O 33 miejsca w sejmiku wojewódzkim będzie się ubiegać 522 kandydatów, reprezentujących 16 komitetów...
Korona Europy coraz bliżej
Maciej Śliż, Jarosław Herbert, Łukasz Godek i Maciej Brożyna, pracownicy naukowo-dydaktyczni Wydziału Wychowania Fizycznego Uniwersytetu Rzeszowskiego, są coraz bliżsi zakończenia sukcesem realizacji projektu Korona Europy, choć czeka ich jeszcze kilka trudnych wspinaczek. Celem projektu jest...
Najpiękniejsze podkarpackie zakątki w WiMBP w Rzeszowie
Do końca wakacji można oglądać wystawę "Parki narodowe i krajobrazowe w województwie podkarpackim" w Wojewódzkiej i Miejskiej Bibliotece Publicznej w Rzeszowie. Warto tym bardziej, że nasz region jest obszarem bogatym w zakątki przyrodniczo-krajobrazowe, które stanowią około 50% powierzchni...
Weź udział w Grze Miejskiej i sprawdź swoją wiedzę o historii Rzeszowa!
Rozwiązywanie zagadek, pokonywanie wyznaczonej trasy, rywalizacja drużynowa, atrakcyjne nagrody oraz doskonały sprawdzian z wiedzy o historii Rzeszowa, literatury oraz Unii Europejskiej - to wszystko czeka uczestników historyczno-literackiej Gry Miejskiej "WEHIKUŁ CZASU". Będzie to zabawa połączona...
Pawłowski, Bielecki i Jagielski na festiwalu podróżniczym w Rzeszowie
Ryszard Pawłowski, człowiek gór z 40-letnim stażem wspinaczkowym; 31-letni Adam Bielecki, jeden z najbardziej utytułowanych młodych himalaistów; Tomasz Michniewicz, podróżnik i reportażysta, będą gośćmi 7. Podkarpackiego Kalejdoskopu Podróżniczego w Rzeszowie. W dniach 20-22 bm. do Rzeszowa...
Ryszard Pawłowski: Nie wyjeżdżam w góry, by zginąć
Z Ryszardem Pawłowskim, himalaistą, zdobywcą 10 ośmiotysięczników, pięciokrotnym zdobywcą Mount Everestu, rozmawia Jaromir Kwiatkowski
Piękno i bogactwo języka polskiego na wystawie w WiMBP w Rzeszowie
Wojewódzka i Miejska Biblioteka Publiczna w Rzeszowie zorganizowała wystawę z okazji Międzynarodowego Dnia Języka Ojczystego. Ekspozycja dostępna jest od 29 stycznia do 29 lutego 2016r. w budynku WiMBP przy ulicy Sokoła 13, w godzinach otwarcia biblioteki. Zobaczyć można m.in. książki o języku...
Wystawa twórczości Stanisława Lema w WiMBP w Rzeszowie
Wojewódzka i Miejska Biblioteka Publiczna w Rzeszowie zaprasza na wystawę poświęconą Stanisławowi Lemowi. Ekspozycję można zwiedzać od lutego do końca marca w Wypożyczalni Głównej przy ul. Dąbrowskiego 33a.
Opowieść o Kraju Kwitnącej Wiśni w rzeszowskiej bibliotece
Znawczyni kultury japońskiej, Anna Wysokińska-Zajchowska będzie gościem spotkania organizowanego przez Wojewódzką i Miejską Bibliotekę Publiczną w Rzeszowie. Japoński wieczór w środę, 30 marca o godz. 12.00, w filii nr 16, przy ul. Gromskiego 10/C. Wstęp na spotkanie jest wolny.
Implanty - piękny uśmiech, lepsze życie
Estetyczny uśmiech to niezwykle ważny element naszego ogólnego wizerunku. Ładne zęby dodają pewności siebie i pomagają w nawiązywaniu relacji. Jednak tylko nielicznych natura obdarzyła nieskazitelnym uzębieniem. Według danych Ministerstwa Zdrowia, tylko 5,4 procenta Polaków ma pełne uzębienie...
Od piątku w Startup Weekend może wziąć udział każda kreatywna osoba
- Startup Weekend jest dla osób kreatywnych. To znaczny, że nawet jeśli nie masz konkretnego pomysłu na biznes, może pojawić się i pracować nad pomysłem kogoś innego. W przypadku osób, które taki pomysł mają, Startup Weekend daje możliwość pierwszego zderzenia z rynkiem w inkubowanym...
Das WeltAuto - nowa jakość sprzedaży samochodów używanych
Salony Das WeltAuto ? czyli najmłodszej marki Volkswagen Group Polska, jak mówi się o programie profesjonalnego odkupu i sprzedaży samochodów używanych ? istnieją przy wybranych salonach sprzedaży nowych aut marek Volkswagen, SEAT, Skoda i Volkswagen Samochody Użytkowe. Dynamiczny rozwój sieci...
Kieliszki z Krosna trafiają na najbardziej luksusowe stoły
Produkowane przez spółkę Krosno Glass (byłe Krośnieńskie Huty Szkła) kieliszki z odciąganą nóżką trafiają na rynki całego świata. Jak podaje portal Krosno24, kupuje je m.in. najlepsza polska restauracja Senses w Warszawie i jeden z najbardziej luksusowych hoteli na świecie ? Burj Al Arab...
11 startupów w Akceleratorze Start In Podkarpackie
11 startupów zakwalifikowało się do Akceleratora Start In Podkarpackie, pierwszego na Podkarpaciu i jednego z niewielu w Polsce akceleratorów wspierających działalność startupowców. Oferują one nowoczesne produkty, usługi lub rozwiązania m.in. z zakresu medycyny, ekologii, motoryzacji, elektroniki...
I Nocny Dobroczynny Bieg Nadziei już w niedzielę w Krośnie
Nawet trzy tysiące osób może przejść w widowiskowym marszu nadziei z białymi poduszkami w kształcie serc - szacują organizatorzy I Nocnego Dobroczynnego Bieg Nadziei oraz Marszu Nadziei Białych Serc, które w niedzielę, 14 maja odbędą się w Krośnie. Uczestnikom wydarzenia, z którego dochód...
Czas podróży. Kierunek Kreta
Lazur nieba i morza, pewna, słoneczna pogoda, pyszne jedzenie i... ceny niespecjalnie odbiegające od polskich. Polacy pokochali greckie wyspy i trudno się im dziwić. Największa z nich, Kreta przyciąga też niezwykłą historią - jest miejscem narodzin pierwszej europejskiej cywilizacji!
Arkadia na Filipinach. Twórcy podróżniczego projektu odwiedzą Rzeszów
W marcu 2017 roku grupa Polaków zdecydowała się przeprowadzić na Filipiny. Na wydzierżawionej działce przy rajskiej plaży wybudowali domki i zapraszają do siebie turystów. Skąd taki pomysł? To projekt na życie czy turystyczny biznes? Opowiedzą o tym Tomasz Kosiński i Asia Klich podczas...
Zlot samochodów Mercedes-Benz - klasyki, nowinki i customy
Już 2 września br. Autoryzowany Dealer Mercedes-Benz Danuta i Ryszard Czach organizuje dla fanów marki zlot zabytkowych modeli samochodów Mercedes-Benz. Na imprezie będzie można podziwiać także najnowsze modele sportowe oraz oryginalne customy.
XIII Gala Podkarpackiego Klubu Biznesu
Zrzeszający 300 przedsiębiorców Podkarpacki Klub Biznesu zorganizował w piątek, 24 listopada, wielką galę w Centrum Wystawienniczo-Kongresowy G2A Arena w Jasionce k/Rzeszowa. Uroczystemu spotkaniu towarzyszyło wręczenie Nagród PKB dla firm i osób mających ważny wpływ na rozwój gospodarczy...
Spotkanie z filmami Andrzeja Wajdy i Krystyną Jandą w Przemyślu
Wybitna polska aktorka Krystyna Janda będzie gościem "Spotkań z filmami Andrzeja Wajdy", jakie w dniach 15-17 grudnia odbędą się w Przemyślu w pierwszą rocznicę śmierci reżysera. W ciągu trzech dni zostanie pokazanych kilka najważniejszych filmów Wajdy, m.in. "Tatarak", "Powidoki", "Człowiek...
Ryszard Pawłowski i Walenty Fiut na bieszczadzkim przeglądzie filmów górskich
Inaczej niż zwykle, bo koncertem legendarnego punkrockowego zespołu KSU w Hotelu Arłamów rozpocznie się XIV Przegląd Filmów Górskich - wydarzenie, które od lat ściąga w Bieszczady miłośników gór. Tym razem publiczność będzie mogła posłuchać opowieści Walentego Fiuta, GOPR-owca...
Od środy w ośmiu rzeszowskich restauracjach Festiwal Restaurant Week
Początek Festiwal Restaurant Week już w środę, 18 kwietnia i potrwa do końca miesiąca. Restauratorzy zapraszają w 13 regionach i w ponad 30 polskich miastach. W trakcie festiwalu za trzydaniowy posiłek zapłacimy 49 zł od osoby. Wystarczy wejść na www.restaurantweek.pl, zarejestrować konto...
Synagoga w skansenie w Sanoku prawie gotowa
W październiku w Muzeum Budownictwa Ludowego w Sanoku otwarta zostanie synagoga z Połańca z XVIII w. Ta pierwsza i jedyna dotąd w Polsce rekonstrukcja drewnianej synagogi oparta została na przedwojennej dokumentacji. Trwają prace przy odtwarzaniu jej wnętrza.
Kino plenerowe w Ogrodach Bernardyńskich. W piątek "Pan Tadeusz"
Piątkowy seans w kinie plenerowym w Ogrodach Bernardyńskich w Rzeszowie rozpocznie się o godz. 21. Tym razem wyświetlony zostanie "Pan Tadeusz" w reż. Andrzeja Wajdy. To jeden z 10 seansów, jakie zaplanowano w tym wakacyjnym kinie. Pokazywane są w nim filmy o charakterze patriotycznym, a cykl...
Prof. Andrzej Urbanik - lekarz, który zaraził się wirusem podróży
Zwiedził 110 krajów świata, niektóre kilkakrotnie. Tylko do Nepalu wracał osiem razy. Dwa razy objechał świat dookoła, mając w kieszeni przysłowiowe grosze. W jedną z podróży wziął odżywki dla chorych na nowotwory, by pozwoliły mu przetrwać, gdy prowiant okaże się niewystarczający...
Montaż szuflady w 6 prostych krokach.
Dzięki szablonom tworzywowym w szybki i wygodny sposób oznaczymy otwory potrzebne zamontowania prowadnic raz mocowań frontów szuflad. System pozwala na instalację szuflad w czterech różnych wariantach. Dodatkowo na odwrocie szablonu znajdują się informację, jak zamontować szuflady o nietypowych...
Mielec wybrał na prezydenta Jacka Wiśniewskiego
- My jesteśmy zwycięzcami i my przez najbliższe pięć lat będziemy decydowali o wyglądzie naszego miasta - powiedział Jacek Wiśniewski, kandydat Komitetu Wyborczego Razem dla Ziemi Mieleckiej, komentując wyniki II tury wyborów na prezydenta Mielca, w której pokonał kandydata KW PiS - Fryderyka...
Drabiny pionowe rozwiązaniem na brak przestrzeni
Drabiny pionowe to jedno z nielicznych rozwiązań, które bez wymaganej dużej przestrzeni, zagwarantuje dostęp do wysokich maszyn oraz usytuowanych ponad podłożem urządzeń w zakładzie przemysłowym. Służą przede wszystkim celom kontrolnym i serwisowym, zapewniając wykwalifikowanym specjalistom...
"Powidoki" - kandydat do Oscara Andrzeja Wajdy bezpłatnie w kinie "Zorza"
Instytut Pamięci Narodowej Oddział w Rzeszowie, w ramach cyklu bezpłatnych pokazów filmowych organizowanych w Kinie "Zorza", zaprasza na projekcję filmu "Powidoki" z 2016 r. w reżyserii Andrzeja Wajdy. Film poprzedzony zostanie prelekcją historyka IPN. Na seans obowiązują bezpłatne wejściówki...
Dzieci chcą być zauważane, więc robią Najdłuższą Książkę Świata
Stworzona w ubiegłym roku książka miała prawie 780 metrów! Wykonały ją dzieci w wieku od 5 do 10 lat. W tym roku będzie podobnie. Każde narysuje jedną stronę. Potem wspólnie na placu przed rzeszowską biblioteką połączą karty w wielką opowieść. - Dzieci tworzące coś interesującego...
Zbudowałabym wspaniałą bibliotekę w Rzeszowie i wszystkim rozdała czytniki
Alina Bosak: Kto czyta najwięcej?
Piotr Rędziniak, nowy dyrektor BWA: Więcej świeżej krwi
Po ponad roku pełnienia obowiązków dyrektora, Piotr Rędziniak, artysta plastyk, został pełnoprawnym szefem Biura Wystaw Artystycznych w Rzeszowie. – Rewolucji robił nie będę – mówi. – Ale zamierzam pracować nad tym, by Dom Sztuki BWA obok wystaw oferował coraz więcej wydarzeń artystycznych...
Najdłuższa Książka Świata z Rzeszowa ma już ponad kilometr!
W Rzeszowie od pięciu lat powstaje Najdłuższa Książka Świata. Składa się z dziecięcych rysunków. Co roku nowe metry dokładają do niej przedszkolaki i uczniowie szkół podstawowych z Rzeszowa i okolic. W tym roku przygotowały 1127 rysunków i połączyły je w środę, 3 kwietnia, w kolorowego...
III Festiwal Wyczytanej Książki w Rzeszowie kipi atrakcjami! [PROGRAM]
Warsztaty kulinarne dla dzieci z Justyną Bednarek, tworzenie dzieł sztuki ze zniszczonych książek, wielki rodzinny piknik przed biblioteką przy ul. Sokoła, wieczorne głośne czytanie bajek w rzeszowskich parkach, a jako wisienka na torcie - kabaret dla dzieci w wykonaniu krakowskich aktorów...
Niedziela w zagrodzie w Kolbuszowej. Przy kołowrotku i kole garncarskim
Już w najbliższą niedzielę, 18 sierpnia w Muzeum Kultury Ludowej w Kolbuszowej kolejne spotkania z cyklu "Co niedzielę w zagrodzie". Będą warsztaty, pokazy i wykłady, kiermasz rękodzieła oraz tradycyjna kuchnia.
Dzięki platformie dla startupów na Podkarpaciu powstała gra RoboSoccer
Gra RoboSoccer to piłkarzyki, w których zawodnikami są roboty, a boisko można złożyć i zabrać ze sobą do znajomych. Właśnie wchodzi na rynek, Produkt stworzyła firma z Inkubatora Technologicznego w Jasionce, która skorzystała z pilotażowego programu dla startupów. Teraz, dzięki projektowi...
Prawie pół miliona pszczół w Rzeszowie! MPWiK buduje pasiekę!
Dziesięć uli przy Zakładzie Uzdatniania Wody na os. Zwięczya stanie się domem dla blisko 500 tys. pszczół. MPWiK buduje miejską pasiekę, pierwszą taką w Rzeszowie, która będzie gotowa już pod koniec lutego.
Rekord w Rzeszowie. Miliony dla 8 pomysłów Start In Podkarpackie
Aż 8 na 23 innowacyjne pomysły, które Polska Agencja Rozwoju Przedsiębiorczości zdecydowała się wesprzeć milionowymi dotacjami, pochodzi z Platformie startowej Start In Podkarpackie, koordynowanej przez Rzeszowską Agencję Rozwoju Regionalnego S.A. Dzięki temu na rynek wprowadzone zostaną...
Inka - północna dziewczyna z Bieszczadów podąża za marzeniem
- Potrzebuję być na północy. Moja droga idzie w tamtą stronę. Tam czuję się spokojniejsza, doświadczam pełni i szczęścia. Zaufałam pragnieniom – mówi artystka i podróżniczka Inka Wu. Mieszka w Norwegii, maluje wilki i kocha wyprawy za koło podbiegunowe. Jedna z dwudziestki śmiałków...
Rzeszów zaprasza na Narodowe Czytanie "Balladyny". Nagraj siebie
Mordując siostrę i wykorzystując naiwność Kirkora Balladyna zdobywa upragnioną władzę. Do czego właściwie jest zdolny człowiek, by osiągnąć cel? Czy tylko Boża sprawiedliwość dosięgnąć może władcę? Jakie prawa rządzą historią? To wciąż aktualne pytania, których odpowiedzi...
Czym różni się handel na rynkach Forex od spekulacji na cenach akcji spółek?
Mimo fundamentalnych różnic pomiędzy tymi instrumentami, wielu ludzi myli handel na parach walutowych Forex ze spekulacją na cenach akcji. Co różni te dwa style handlu?
"Podkarpackie wędrówki z Arturem Andrusem" online
Na spotkanie online z mistrzem dowcipu i ciętej riposty Arturem Andrusem zaprasza we wtorek, 20 października, Wojewódzka i Miejska Biblioteka Publiczna w Rzeszowie. Spotkanie rozpoczyna się o godz. 18. i można w każdej chwili do niego dołączyć.
Katarzyna Miller na pandemię - pozytywne spotkanie w wirtualnej bibliotece
Jak zachować pogodę ducha w czasie pandemii, podpowie czytelnikom psycholożka i filozofka oraz autorka książek Katarzyna Miller. Do spotkania, 13 listopada 2020 r., można dołączyć z domu. Na platformie ClickMeeting organizuje je Wojewódzka i Miejska Biblioteka Publiczna w Rzeszowie. Rozmowę...
Spotkanie online z Magdą Umer - artystką "promiennego smutku"
Wojewódzka i Miejska Biblioteka Publiczna w Rzeszowie zaprasza we wtorek, 8 grudnia 2020 r. o godz. 18.00 na spotkanie online z Magdą Umer - piosenkarką, autorką recitali, tekstów i książek, scenarzystką, reżyserką oraz dziennikarką.
Lotnictwo i kosmonautyka - nowe strategie dla inteligentnych specjalizacji Podkarpacia
Podkarpacie jest wyjątkowym miejscem na mapie świata pod względem ulokowania firm branży lotniczej. To kluczowy, obok francuskiej Tuluzy i hiszpańskiej Andaluzji, ośrodek "skrzydlatego" przemysłu w Europie. Ma ponad 80 lat doświadczenia w produkcji samolotów i uczelnie od dekad kształcące...
Największe firmy Doliny Lotniczej stawiają na badania i rozwój
Dolina Lotnicza to olbrzymi potencjał technologiczny i intelektualny. W województwie podkarpackim reprezentowane są wszystkie światowe firmy. - W rejonie samego Rzeszowa powstaje 30 proc. najnowocześniejszego silnika GTF. Każdy, kto pracuje w branży lotniczej, wie, jakie to ogromne osiągnięcie...
RC-Tech z Podkarpacia z glejtem ministra rozwoju. Bada nowy silnik lotniczy
GE Aviation, światowy lider w produkcji silników lotniczych do pracy nad nowym silnikiem zaprosił niewielką spółkę RC-Tech z Inkubatora Technologicznego w Jasionce k. Rzeszowa. To m.in. udział w tym projekcie sprawił, że firma założona kilka lat temu przez absolwenta Politechniki Rzeszowskiej...
Dominator już za dwa lata - nowy ultralekki, od krośnieńskiego Ekolotu
Ekolot z Krosna, jedyny w Polsce producent seryjnych samolotów ultralekkich, zamierza wprowadzić na rynek nowy model samolotu. Szybki dolnopłat Dominator, podobnie jak krośnieńskie Elfy, Topazy i Juniory powstaje według projektu cenionego konstruktora Jerzego Krawczyka. Prototyp zostanie poddany...
Drony z Podkarpacia - polska konstrukcja od A do Z
W 2013 roku Grzegorz Łobodziński, absolwent Politechniki Rzeszowskiej założył firmę Fotoacc, która zajęła się projektowaniem i produkcją dronów. Pracę nad konstrukcją bezzałogowych systemów latających zaczął kilka lat wcześniej, na studiach, w Kole Naukowym Lotników. Dziś, ze swoim...
Zagłębie dronowe na Podkarpaciu - od szkoleń aż po międzynarodowe targi
W ciągu sześciu lat blisko tysiąc kursantów uzyskało uprawnienia operatora drona, realizując szkolenie w Centrum Naukowo-Technologicznym Systemów Bezzałogowych Sp. z o.o. Wciąż można zostać tutaj pilotem drona, a ponadto firma wychodzi z nowymi propozycjami szkoleń specjalistycznych –...
Royal-Star umożliwia latanie - od szkoły pilotów i aero-taxi po przeglądy samolotów
Lotnicza pasja inżyniera konstruktora zaowocowała pierwszym w Polsce prywatnym ośrodkiem szkolenia pilotów. Podkarpacka Royal-Star pozwala na rozpoczęcie kariery lotniczej w największych liniach lotniczych świata i sama oferuje przewozy powietrzną taksówką – nawet odrzutową. Szkoli mechaników...
Wyroby lotnicze RnD.Aero z certyfikatem na airbusy i dreamlinery
Młoda spółka RnD.Aero z Rzeszowa zaczynała od doradztwa i tworzenia oprogramowania do zarządzania produkcją lotniczą, teraz sama produkuje. Jako jedna z niewielu firm w Polsce posiada certyfikaty, które pozwalają jej wyroby – tekstylne, plastikowe i metalowe - montować bezpośrednio na dużych...
Zmarł Andrzej Śmiały, rzeszowski podróżnik
5 kwietnia, po długiej chorobie, w wieku 62 lat, zmarł Andrzej Śmiały – rzeszowski geograf, globtroter i eksplorator mało znanych rejonów ziemi, który pierwszy w historii dokonał przejścia podwójnego trawersu Spitsbergenu. Uczestniczył także w pierwszym polskim wejściu na lodowiec Patagonii...
Ekoinnowacje w Rzeszowie: trzmielowisko i ławka solarna
Z szesnastu pomysłów na przyjazne ludziom i przyrodzie mikroinnowacje w mieście, które zgłosili mieszkańcy Rzeszowa, wybrano trzy. Już niebawem na ścianie Szkoły Podstawowej nr 11 w Rzeszowie powstanie mural wykonany farbami pochłaniającymi zanieczyszczenia, w Parku Kultury i Wypoczynku nad...
Białoruś zakazuje wwozu towarów kilku firm z UE, między innymi Skody i Nivea
Białoruś zdecydowała o zakazie wwozu i sprzedaży towarów trzech zagranicznych firm z krajów, które wprowadziły wcześniej sankcje wobec białoruskich podmiotów prawnych i fizycznych – poinformowano w piątek w komunikacie białoruskiego rządu. Zakazem objęte zostały towary firm Liqui Moly...
O podkarpackich szansach i specjalizacjach na Kongresie 590
Województwo podkarpackie ma spory potencjał: to jeden z najpiękniejszych przyrodniczo regionów Europy i jeden z najważniejszych ośrodków przemysłu lotniczego na Starym Kontynencie. To także siedziba największej polskiej firmy informatycznej i największe obok Śląska i Wielkopolski zagłębie...
Wykonano 21,3 mln szczepień przeciw COVID-19, w pełni zaszczepionych jest 7,7 mln osób
W Polsce wykonano dotąd 21 326 996 szczepień przeciw COVID-19 – poinformowano w piątek na rządowych stronach. W pełni zaszczepionych, czyli dwiema dawkami preparatów od firm Pfizer/BioNTech, Moderna i AstraZeneca, a także jednodawkową szczepionką Johnson & Johnson, jest 7 777 048 osób.
W 2021 r. inflacja wyniesie 4,2 proc., a wzrost PKB 5 proc.
W 2021 r. inflacja wyniesie 4,2 proc., a wzrost PKB – 5 proc. – wynika z centralnej ścieżki lipcowej projekcji inflacyjnej – poinformował NBP w poniedziałek.
Tokio. Iga Świątek w drugiej rundzie turnieju olimpijskiego
Iga Świątek pokonała niemiecką tenisistkę Monę Barthel 6:2, 6:2 i awansowała do drugiej rundy turnieju olimpijskiego w Tokio.
Projekt budżetu: PKB w roku 2023 wzrośnie o 3,7 proc., a w latach 2024 i 2025 - o 3,5 proc.
Tempo wzrostu realnego PKB w 2023 r. osiągnie 3,7 proc., a w latach 2024-2025 wyniesie 3,5 proc. – napisano w uzasadnieniu do projektu budżetu na 2022 r. Jak zaznaczono, prognoza ta nie uwzględnia realizacji Krajowego Planu Odbudowy.
PIE: rekordowy wzrost PKB w II kwartale
PKB zanotował rekordowy wzrost w II kwartale. Kolejne miesiące przyniosą spowolnienie dynamiki do 5 proc. Odbicie aktywności w Polsce oraz państwach Europy Środkowo-Wschodniej będzie nieco szybsze niż w strefie euro – napisano w komentarzu PIE do wtorkowych danych GUS.
Cykl o inteligentnych specjalizacjach województwa podkarpackiego. Czas na jakość życia
Na łamach magazynu "VIP Biznes&Styl" oraz w portalu BIZNESiSTYL.pl przybliżamy branże i firmy, które tworzą inteligentne specjalizacje województwa podkarpackiego. Prezentowaliśmy już twarze przemysłu lotniczego oraz IT, trwa promocja motoryzacji. Teraz zapraszamy firmy, które mają wpływ na...
Rozpoczęło działalność Muzeum Pamięci Sybiru w Białymstoku
W Białymstoku zostało w piątek oficjalnie otwarte Muzeum Pamięci Sybiru - ogólnopolska instytucja kultury, która ma prezentować m.in. problematykę deportacji na Wschód. W uroczystości wzięli udział Sybiracy, przedstawiciele władz państwowych i samorządowych. Pierwsi zwiedzający będą...
Kościński w Sejmie o budżecie 2022 r.: deficyt będzie niższy niż 3 proc. PKB
Deficyt w 2022 r. będzie niższy niż 3 proc. PKB, co pokazuje, że rozpoczynamy konsolidację finansów publicznych bez szkody dla wydatków publicznych, społecznych i inwestycyjnych - powiedział w czwartek w Sejmie minister finansów Tadeusz Kościński o projekcie ustawy budżetowej na rok 2022...
Promocja sklepu internetowego - wykorzystaj do tego porównywarkę cen
Zadaniem porównywarek cenowych jest gromadzenie rozmaitych ofert zewnętrznych firm. Dzięki temu konsumenci w jednym miejscu mogą przeglądać towar dostępny w różnych sklepach. W ten sposób budują swoją świadomość konsumencką. Z kolei sklepy internetowe mogą docierać do większej ilości...
GUS: PKB Polski we wstępnym szacunku wzrósł w 2021 r. o 5,7 proc.
Według wstępnego szacunku produkt krajowy brutto Polski w 2021 r. był realnie wyższy o 5,7 proc. wobec 2020 r. - poinformował w poniedziałek prezes GUS Dominik Rozkrut. Głównym czynnikiem wpływającym na dynamikę PKB był popyt krajowy, przy czym skala wpływu była wyższa niż pandemią.
KE obniża prognozę wzrostu PKB Unii Europejskiej w 2022 r. z 4,3 proc. do 4,0 proc.
Komisja Europejska obniża prognozę wzrostu PKB Unii Europejskiej w 2022 r. z 4,3 proc. do 4,0 proc. Jednocześnie szacuje, że w 2023 r. PKB Wspólnoty wzrośnie o 2,8 proc.
MF: waluty będące w dyspozycji resortu będą wymieniane na rynku
Środki walutowe znajdujące się w dyspozycji Ministerstwa Finansów będą wymieniane na rynku walutowym – poinformowało w środę Ministerstwo Finansów w komunikacie.
Glapiński: wzrost PKB w I kwartale br. będzie bliski 7 proc. PKB
Koniunktura gospodarcza w Polsce jest bardzo korzystna. Wzrost PKB w IV kwartale ubiegłego roku wyniósł ponad 7 proc., w I kwartale tego roku będzie to też ok. 7 proc. PKB – powiedział w środę na konferencji prasowej prezes NBP Adam Glapiński. W całym roku wzrost przekroczy 4 proc. - dodał...
Numery PESEL dla uchodźców z Ukrainy. Od środy w Rzeszowie
Urząd Miasta Rzeszowa w środę,16 marca uruchomia specjalny punkt, w którym uchodźcy z Ukrainy będą mogli otrzymać numer PESEL, utworzyć profil zaufany i zameldować się. Punkt będzie się mieścił w budynku przy ul. Langiewicza 15 i działał przez pięć dni w tygodniu - od poniedziałku...
Glapiński: RPP będzie podnosić stopy procentowe, aż osiągnie pewność, że inflacja trwale się obniży
Rada Polityki Pieniężnej będzie podnosić stopy procentowe, aż osiągnie pewność, że inflacja trwale się obniży - oświadczył w piątek podczas konferencji prasowej prezes Narodowego Banku Polskiego Adam Glapiński.
Menuet na balu Lubomirskich w Muzeum-Zamku w Łańcucie
Zatańczyć menueta, zasiąść do wspólnego śniadania z rodziną Potockich, albo przyjrzeć się replice balonu, którym Jan Potocki jako pierwszy Polak w historii, w 1790 roku wzbił się w powietrze – to wszystko jest możliwe w multimedialnym centrum, jakie powstało w Muzeum-Zamku w Łańcucie...
Premier W. Brytanii: zwiększymy wydatki na obronę do 2,5 proc. PKB
Wielka Brytania przed rokiem 2030 podniesie poziom wydatków na obronność do 2,5 proc. PKB - poinformował w czwartek, na zakończenie szczytu NATO w Madrycie, premier Boris Johnson. Podkreślił też, że Ukraina nie może być zmuszona do zawarcia złego pokoju z Rosją.
Są już bilety na 14. Podkarpacki Kalejdoskop Podróżniczy!
14. Podkarpacki Kalejdoskop Podróżniczy - Festiwal Kultur Świata już od 4 do 6 listopada w Rzeszowie. Wydarzenie po raz pierwszy zagości w Kinie Zorza. To będzie wyjątkowa edycja, bo po dwóch wirtualnych odsłonach impreza w końcu wraca do swojej tradycyjnej formy. Będzie to czas spotkań...
Premier: niskie ceny energii i stopy procentowe prawdopodobnie odeszły na dłuższy czas w przeszłość
Żyjemy w epokowym momencie, kiedy niskie ceny energii i niskie ceny kosztu pieniądza, czyli niskie stopy procentowe, prawdopodobnie na dłuższy czas odeszły w przeszłość - mówił premier Mateusz Morawiecki podczas Rady Dialogu Społecznego. Chcemy, żeby deficyt nie przekroczył 4,5 proc. PKB...
KE obniżyła w piątek prognozę wzrostu PKB Polski w 2022 r. z 5,2 proc. do 4,0 proc.
Komisja Europejska obniżyła w piątek prognozę wzrostu PKB Polski w 2022 r. z 5,2 proc. do 4,0 proc., a w w 2023 r. z 1,5 proc. do 0,7 proc.
NBP obniżył prognozę wzrostu gospodarczego w 2023 r. z 1,4 proc. do 0,7 proc.
Wzrost PKB w 2022 r. wyniesie 4,6 proc., w roku 2023 będzie to 0,7 proc., a w 2024 roku PKB wzrośnie o 2 proc. – wynika z centralnej ścieżki projekcji PKB opublikowanej w poniedziałek w „Raporcie o inflacji” NBP.
Europejska Agencja Kosmiczna wesprze startupy w Rzeszowie
Rzeszowska Agencja Rozwoju Regionalnego zajmie się tworzeniem inkubatora i koordynowaniem wsparcia dla startupów wykorzystujących technologie kosmiczne. Wszystko dzięki temu, że Polska dołączyła do sieci Inkubatorów Europejskiej Agencji Kosmicznej ESA BIC, a Rzeszów i Warszawa to dwa miasta...
Dzień Pamięci o Ofiarach Holokaustu na Podkarpaciu
Modlitwa z udziałem rabina na cmentarzu żydowskim w Rzeszowie, spotkania z potomkami podkarpackich Żydów połączone z prezentacją prac Niny Talbot, wykład w synagodze to tylko niektóre punkty Obchodów Międzynarodowego Dnia Pamięci o Ofiarach Holokaustu. Przypada on na 27 stycznia, w rocznicę...
Premier Morawiecki: w tym roku przeznaczymy na polskie wojsko 4 proc. PKB
Wojna na Ukrainie powoduje, że musimy zbroić się jeszcze szybciej, dlatego w tym roku przeznaczymy 4 proc. PKB na wojsko, być może będzie to najwyższy procent wśród wszystkich państw NATO - powiedział w poniedziałek w Siedlcach premier Mateusz Morawiecki.
Mój dziadek zakopał w Dynowie świecznik na Chanukę
- Kiedy jako nastolatek mieszkałem w Szczecinie, przed wyjazdem z Polski w 1968 roku, wiele razy słyszałem od chuliganów słowa: parszywy żyd. Teraz nie czuję się w Polsce nieproszony. Nie ma tu antysemityzmu jak w Ameryce, czy Francji – uważa Szmuel Halpern, który razem z żoną Tamar od...
Prognoza gospodarcza KE: wzrost PKB Unii Europejskiej w 2022 r. - 3,5 proc.; 0,8 proc. w 2023 r.
Komisja Europejska przedstawiła w poniedziałek zimową prognozę gospodarczą. Jest ona bardziej optymistyczna od jesiennej, opublikowanej w listopadzie ub.r. Zgodnie z najnowszymi przewidywaniami wzrost PKB Unii Europejskiej w 2022 r. wyniesie 3,5 proc., a w 2023 r. - 0,8 proc.
Prognozy KE dla Polski: niższy wzrost w 2023 r., ale też niższa inflacja
W przedstawionej w poniedziałek prognozie gospodarczej Komisja Europejska podwyższyła prognozę wzrostu PKB Polski w 2022 r. z 4,0 proc. do 4,9 proc. W roku 2023 wzrost będzie niższy, niż spodziewano się jesienią - obniżka z 0,7 proc. do 0,4 proc. Jednak zarówno w zakończonym roku, jak i w...
Projekcja NBP: w 2023 r. inflacja wyniesie 11,9 proc.; PKB wzrośnie o 0,9 proc.
W 2023 r. inflacja wyniesie 11,9 proc., w 2024 roku 5,7 proc. - wynika z tzw. centralnej ścieżki projekcji inflacji i PKB zawartej w opublikowanym w piątek przez Narodowy Bank Polski "Raporcie o inflacji – marzec 2023 r.". Dodano, że w br. polski PKB wzrośnie o 0,9 proc., w przyszłym o 2,1 proc. ...
Rozpęd lotnictwa i centrum Eme Aero pod Rzeszowem
Pandemiczne chude lata w lotnictwie już za nami. Przed Podkarpaciem za to duże szanse na rozwój najbardziej lukratywnej części przemysłu lotniczego – obsługi serwisowej samolotów i rozwój biur konstrukcyjnych. Nie tylko szykuje się budowa centrum serwisowego LOT AMS, ale zatrudnienie już...
Czy wynajem odzieży roboczej jest opłacalny?
Wynajem odzieży roboczej to rozwiązanie wciąż niezbyt szeroko rozpowszechnione. To tym dziwniejsze, że w wielu branżach scenariusze wykorzystania odzieży ochronnej i roboczej sprawiają, że wynajem z serwisem może być zdecydowanie bardziej atrakcyjny od zakupu.
Patkowski: zaczęliśmy wychodzić z dołka pod względem wzrostu PKB
Od dłuższego czasu ekonomiści sądzą, że dołkiem pod względem wzrostu gospodarczego był pierwszy kwartał 2023 roku. I zaczęliśmy wychodzić z tego dołka – powiedział w czwartek w Polskim Radiu 24 wiceminister finansów Piotr Patkowski.























